Răng sâu là vấn đề răng miệng phổ biến mà rất nhiều người gặp phải, nhưng không phải ai cũng biết rằng nếu để lâu không điều trị, răng sâu có thể gây ra những biến chứng nghiêm trọng như viêm tủy, áp xe răng, thậm chí mất răng vĩnh viễn. Trám răng sâu kịp thời không chỉ giúp bảo tồn răng thật mà còn ngăn chặn những cơn đau nhức khó chịu ảnh hưởng đến sinh hoạt hàng ngày.
Tại Buôn Ma Thuột, có khá nhiều cơ sở nha khoa cung cấp dịch vụ trám răng sâu, từ bệnh viện công đến phòng khám tư nhân. Tuy nhiên không phải nơi nào cũng đảm bảo chất lượng và uy tín. Vzone tổng hợp top địa chỉ trám răng sâu uy tín tại BMT 2026 để bạn dễ dàng lựa chọn cơ sở phù hợp nhất.
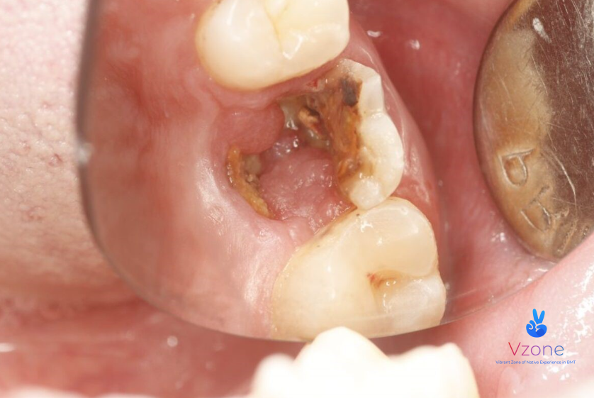
Trám răng sâu là gì và khi nào cần trám?
Răng sâu và các mức độ cần điều trị
Răng sâu là tình trạng men răng và ngà răng bị vi khuẩn tấn công, tạo thành các lỗ hổng trên bề mặt răng. Tùy theo mức độ tổn thương mà phương pháp điều trị sẽ khác nhau.

Ở mức độ nhẹ, sâu chỉ ảnh hưởng đến lớp men răng bên ngoài, thường chưa gây đau và có thể xử lý đơn giản bằng trám răng thông thường. Ở mức độ trung bình, sâu đã ăn vào lớp ngà răng, bệnh nhân thường cảm thấy ê buốt khi ăn đồ nóng lạnh hoặc ngọt. Ở mức độ nặng, vi khuẩn đã xâm nhập vào tủy răng, gây đau nhức dữ dội và cần điều trị tủy trước khi trám.
Dấu hiệu cần đi trám răng sớm bao gồm xuất hiện đốm đen hoặc lỗ nhỏ trên răng, ê buốt khi ăn uống, đau nhức âm ỉ hoặc hơi thở có mùi khó chịu dù đã vệ sinh răng miệng đúng cách.
Quy trình trám răng sâu diễn ra như thế nào?
Một ca trám răng sâu thông thường tại nha khoa thường diễn ra qua các bước sau. Đầu tiên bác sĩ sẽ kiểm tra tổng quát và chụp X-quang để xác định mức độ sâu. Tiếp theo là làm sạch và loại bỏ hoàn toàn phần mô răng bị sâu. Sau đó bác sĩ tiến hành trám bằng vật liệu phù hợp như composite hoặc amalgam, rồi mài chỉnh khớp cắn và đánh bóng hoàn thiện.

Toàn bộ quy trình thường mất khoảng 30 đến 60 phút tùy mức độ phức tạp. Sau khi trám, bạn nên tránh ăn uống trong vòng 1 đến 2 giờ, hạn chế thức ăn cứng và quá nóng lạnh trong vài ngày đầu.
Top địa chỉ trám răng sâu uy tín tại Buôn Ma Thuột 2026
Trung tâm Răng Hàm Mặt thuộc Bệnh viện Buôn Ma Thuột
Trực thuộc Bệnh viện Buôn Ma Thuột, đây là một trong những địa chỉ khám và điều trị răng miệng lâu đời và uy tín nhất tại Đắk Lắk. Với đội ngũ bác sĩ chuyên khoa được đào tạo bài bản và hệ thống trang thiết bị y tế hiện đại của bệnh viện công, trung tâm đảm bảo quy trình thăm khám và điều trị đúng chuẩn y khoa. Đặc biệt, bệnh nhân có thẻ bảo hiểm y tế có thể được hưởng quyền lợi thanh toán theo quy định khi điều trị tại đây.

Địa chỉ: 298 Hà Huy Tập, phường Tân An, Đắk Lắk. Số điện thoại: 02623 99 33 88. Email: buh@benhvienbmt.com.
Nha Khoa Việt Mỹ chi nhánh Đắk Lắk
Nha Khoa Việt Mỹ là thương hiệu nha khoa có tiếng tại Việt Nam với hệ thống chi nhánh trải dài nhiều tỉnh thành, trong đó có chi nhánh tại Buôn Ma Thuột. Phòng khám được đầu tư trang thiết bị hiện đại, áp dụng các kỹ thuật nha khoa tiên tiến và đội ngũ bác sĩ có chuyên môn cao. Đây là lựa chọn đáng tin cậy cho những bạn muốn trám răng tại một cơ sở có thương hiệu rõ ràng và quy trình chuyên nghiệp.
Địa chỉ: 75 Phan Chu Trinh, Thành Công, Buôn Ma Thuột, Đắk Lắk.

Nhưng cần lưu ý các review đó có thể là cả ảo và thật nhé!
Nha Khoa Thiện An
Nha Khoa Thiện An là phòng khám nha khoa tư nhân đã có thời gian hoạt động tại BMT, được nhiều bệnh nhân địa phương tin tưởng lựa chọn. Phòng khám cung cấp đầy đủ các dịch vụ nha khoa từ cơ bản đến chuyên sâu, trong đó có trám răng sâu các loại. Không gian phòng khám sạch sẽ, đội ngũ nhân viên thân thiện và mức giá hợp lý là những điểm cộng được nhiều bệnh nhân đánh giá cao.
Địa chỉ: 94 Nguyễn Tất Thành, Tân Lợi, Buôn Ma Thuột, Đắk Lắk.

Nha Khoa Oreli
Nha Khoa Oreli với slogan “Nụ cười như ý” là phòng khám nha khoa chú trọng đến cả chức năng lẫn thẩm mỹ trong điều trị răng miệng. Ngoài dịch vụ trám răng sâu, phòng khám còn cung cấp nhiều giải pháp nha khoa thẩm mỹ hiện đại. Đây là lựa chọn phù hợp cho những bạn vừa muốn điều trị răng sâu vừa quan tâm đến tính thẩm mỹ của hàm răng sau khi trám.

Khoa Răng Hàm Mặt thuộc Bệnh viện Thiện Hạnh
Bệnh viện Thiện Hạnh là một trong những bệnh viện tư nhân lớn và uy tín tại Buôn Ma Thuột. Khoa Răng Hàm Mặt thuộc bệnh viện này được trang bị đầy đủ thiết bị chuyên khoa, quy trình thăm khám và điều trị bài bản theo tiêu chuẩn bệnh viện. Đây là lựa chọn phù hợp cho những bệnh nhân muốn được thăm khám trong môi trường bệnh viện chuyên nghiệp với đội ngũ y bác sĩ có kinh nghiệm.
Địa chỉ: 17 Nguyễn Chí Thanh, Tân An, Buôn Ma Thuột, Đắk Lắk.

Những lưu ý khi chọn địa chỉ trám răng sâu tại BMT
Tiêu chí chọn nha khoa uy tín
Trước khi quyết định chọn bất kỳ cơ sở nha khoa nào, bạn nên cân nhắc một số tiêu chí quan trọng sau.
Đầu tiên là chuyên môn của bác sĩ, ưu tiên cơ sở có bác sĩ chuyên khoa Răng Hàm Mặt được đào tạo bài bản và có kinh nghiệm thực tế. Thứ hai là trang thiết bị, nha khoa hiện đại cần có máy X-quang kỹ thuật số, ghế nha khoa đạt chuẩn và dụng cụ được tiệt trùng đúng quy trình. Thứ ba là vật liệu trám chất lượng, hỏi rõ loại vật liệu được sử dụng như composite, GIC hay các loại cao cấp hơn để đảm bảo độ bền và thẩm mỹ. Thứ tư là báo giá minh bạch trước khi thực hiện, tránh phát sinh chi phí bất ngờ sau điều trị. Cuối cùng, hãy tham khảo đánh giá thực tế từ bệnh nhân trên Google Maps trước khi quyết định.
Chi phí trám răng sâu tham khảo
Chi phí trám răng sâu tại BMT dao động khá rộng tùy theo mức độ sâu, loại vật liệu trám và cơ sở điều trị. Trám composite thông thường có mức giá tham khảo từ 200.000 đến 500.000 đồng một răng. Trám inlay/onlay bằng sứ hoặc vàng có chi phí cao hơn, thường từ 1.500.000 đồng trở lên tùy loại. Trường hợp răng sâu nặng cần điều trị tủy trước thì chi phí sẽ cao hơn đáng kể.

Lưu ý
- Nếu răng sâu đã vào tủy, cần điều trị tủy trước khi trám (chi phí có thể tăng thêm 1.000.000 – 3.000.000 VNĐ).
- Thời gian trám một răng thường từ 15 – 45 phút.
- Tuổi thọ miếng trám composite trung bình 3 – 7 năm tùy chăm sóc.
Đối với bệnh nhân có bảo hiểm y tế, một số dịch vụ trám răng cơ bản tại bệnh viện công như Bệnh viện Buôn Ma Thuột và Bệnh viện Thiện Hạnh có thể được thanh toán một phần theo quy định. Bạn nên liên hệ trực tiếp với cơ sở để được tư vấn chi tiết trước khi đến khám.
Lời kết
Răng sâu không phải vấn đề có thể tự khỏi, càng để lâu tình trạng càng nghiêm trọng và chi phí điều trị càng tốn kém hơn. Vzone hy vọng danh sách top địa chỉ trám răng sâu uy tín tại BMT 2026 sẽ giúp bạn tìm được cơ sở phù hợp để chăm sóc sức khỏe răng miệng đúng cách.
Bạn đã từng trám răng tại BMT chưa? Hãy chia sẻ kinh nghiệm cùng Vzone và bạn đọc bằng cách để lại bình luận bên dưới nhé!
